精准检验拨开罕见病迷雾——我院临床检验中心助力恶性胸膜间皮瘤患者获明确诊断
在临床诊疗这一复杂而精密的体系中,临床检验犹如一双无形的“慧眼”和精准的“侦察兵”,始终默默守护在患者身边。每一份标本的细致核查,每一组数据的严谨研判,都是检验人员以专业坚守践行“以检促诊、以质护航”使命的真实写照。近日,我院临床检验中心通过一系列精准的实验室检测,成功为一名病情反复、诊断不明的患者揪出病因——罕见的恶性胸膜间皮瘤,为其后续治疗赢得了宝贵时机。

患者为67岁男性,因“胸闷气短1年,加重伴腹痛、食欲不振1个月”再次入院。1年来,该患者饱受胸闷、腹胀等症状困扰,虽多次就诊并接受胸腔穿刺抽液治疗,但胸腔积液的性质始终未能明确。近1个月,症状急剧加重,病因依然成谜。面对复杂病情,临床初步诊断将其归为“腹痛原因待查、胸腔积液”等,但导致这一切的根源究竟在哪里?

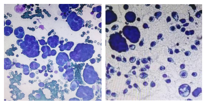
入院后,为明确胸腔积液性质,我院临床检验中心细胞室接到了患者的胸水标本。面对这份看似普通的标本,检验人员并未掉以轻心。在第一次胸水脱落细胞学检查中,镜下出现的大量“异型细胞团”引起了高度警惕——这究竟是增生活跃的良性间皮细胞,还是恶性的间皮瘤细胞?
检验团队迅速启动疑难标本讨论流程,凭借规范的操作流程和丰富的阅片经验,决定进行更深入的探索。随后的第二次细胞学检查及液基细胞学制片+细胞蜡块检查,逐步揭开了真相的面纱:镜下查见异型细胞呈腺样、乳头样结构,呈现出典型的肿瘤形态学特征。

仅有形态学证据还不够,精准的诊断需要双重验证。病理科立即对细胞蜡块进行了全面的免疫组织化学检查。结果清晰地揭示了细胞的“身份密码”:CK5/6(+)、calretinin(+),而 NapsinA(-)、TTF-1(-)。这一典型的“双阳性、双阴性”表达模式,结合CK7(+)和Desmin(-)的结果,完美符合间皮瘤的免疫表型,成功排除了肺腺癌等其他常见转移性肿瘤。
正是这一关键的核心实验室依据,结合患者长期不明原因的胸腔积液病史及影像学特征,临床最终将出院诊断修正为“右侧恶性胸膜间皮瘤”。这种起源于胸膜间皮细胞的罕见肿瘤,因其早期症状隐匿、易与肺炎或胸膜炎混淆,多数患者确诊时已至晚期。而本例患者的成功诊断,无疑是一场与时间赛跑的胜利。

“是检验人员对疾病特征的精准把握和检测技术的精益求精,精准捕捉到了这一罕见疾病的蛛丝马迹。”主管医师感慨道。在此次诊疗过程中,临床检验不再是被动的数据提供者,而是主动的临床侦察兵。从患者首次就诊时的非特异性症状,到最终锁定胸膜间皮瘤,检验科通过多次细致的检测,在显微镜下找到了解开谜团的钥匙。
恶性胸膜间皮瘤的发病多与石棉接触史相关,但早期症状“隐匿”,晚期则因胸膜增厚和恶性积液导致严重呼吸困难。本次检验结果的及时出具,不仅明确了患者胸腔积液的恶性性质,更直接指向了原发病灶,为临床制定抗肿瘤方案及综合治疗奠定了坚实的基础,充分彰显了现代检验医学在罕见病、疑难病诊疗中的核心价值与重要作用。
我院临床检验中心将继续秉持精益求精的工匠精神,以精准的数据和严谨的报告,做守护患者健康的“幕后卫士”,为临床诊疗筑起最坚实的防线。
相关新闻