欢迎进入内蒙古国际蒙医医院官网!

医院新闻

脑脊液细胞学检查如何“锁定”脑部健康隐患

发布时间:2025.11.14 阅读次数:532

字体:

{ 关闭 }

脑脊液细胞学检查作为临床常规检测手段,在中枢神经系统疾病诊断中具有不可替代的作用,可有效助力中枢系统肿瘤(含转移瘤、白血病细胞相关病变)、化脓性脑膜炎、病毒性脑膜炎等疾病的诊断工作。


该检查的敏感性受多重因素影响,具体包括检查标本量、标本获取部位(腰椎或小脑延髓池)、送检脑脊液体积及软脑膜病变程度。从数据来看,单次细胞学检查敏感性为54%,开展第二次检查后敏感性可提升至84%;且标本体积与敏感性呈正相关,10ml标本的检测敏感性显著高于3ml标本。在恶性细胞检测方面,其敏感性约为60%,而核心前提是中枢神经系统恶性肿瘤需侵入脑室或蛛网膜下腔,否则难以检测到阳性结果。


脑脊液细胞学检查是诊断软膜转移的关键环节。尽管部分患者会出现颅内压升高、蛋白质水平升高、血糖水平降低等表现,但唯有通过脑脊液细胞学检查发现恶性细胞,才能确诊脑膜转移。由于恶性细胞与脑脊液正常细胞差异明显,多数脑脊液标本可清晰判定为恶性肿瘤阳性或阴性,为诊断提供明确依据。本次病例来源于内蒙古自治区国际蒙医医院临床检验中心,旨在探讨脑脊液细胞学特征与疾病诊断的关联。


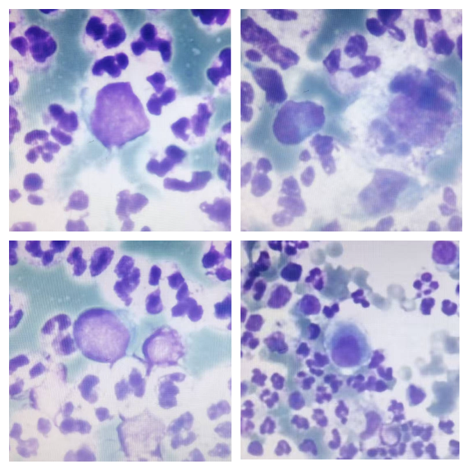
临床病例分析:患者为43岁男性,因“左侧肢体无力半个月余”入院。入院前半个月,患者无明显诱因出现头痛、头晕,伴癫痫发作及左侧肢体无力,外院诊断为颅内占位并实施手术治疗,术后仍遗留左侧肢体无力、头痛头晕等症状,遂于我院门诊以“偏瘫,胶质瘤术后”收治。实验室检查结果显示,白细胞计数为600×10⁶,脑脊液蛋白111.8mg/dL,糖4.79mmol/L,乳酸6.04mmol/L,氯108.5mmol/L,乳酸脱氢酶87.4U/L。CT检查提示右侧胶质瘤术后改变,存在胼胝体软组织团块影及鼻窦炎。脑脊液细胞学检查发现部分异常细胞,此类细胞具有核浆比高、部分细胞核仁清晰的特征,不排除肿瘤细胞可能,同时片中可见真菌孢子,故建议进一步开展脑脊液真菌培养,并结合临床情况综合判断。


经过对症治疗,患者精神状态良好,饮食睡眠正常,左侧肢体无力症状较前改善,头部伤口愈合良好,病情平稳后出院。


 
胶质母细胞瘤作为最高级别的星形细胞瘤,是临床最常见的脑肿瘤,占所有颅内肿瘤的12%~15%,在接受脑脊液检查的患者中,11%可出现阳性结果,但其沿脑脊液通路扩散的情况较为少见。大脑胶质瘤病则是一种罕见的星形细胞肿瘤,以弥漫性星形细胞增生为主要表现,无明显肿块形成且常蔓延累及蛛网膜下腔,此时脑脊液检查可为明确诊断提供重要支持。


从上述临床应用、病例分析及疾病关联中不难看出,脑脊液细胞学检查是串联中枢神经系统疾病诊断、病情评估与治疗监测的关键纽带。无论是早期排查肿瘤、确诊脑膜转移,还是为罕见脑部肿瘤提供诊断依据,它都能凭借对细胞形态的精准识别,为临床医生制定治疗方案、判断病情走向提供可靠依据。


尤其是在肿瘤相关疾病诊断中,其对恶性细胞的检出能力,更是帮助患者尽早明确病情、把握治疗时机的重要保障,充分彰显了其在中枢神经系统疾病诊疗体系中的核心价值,未来也将持续为临床诊疗工作提供关键支撑。


  相关新闻