-
告别慢性布病性关节痛!蒙医穴位埋线,开启特色治疗新路径
当慢性布病性关节痛如影随形,反复发作的疼痛、僵硬不仅侵蚀着你的关节健康,更让正常生活与工作举步维艰。长期依赖常规治疗却收效甚微,甚至面临副作用困扰时,你是否在期待一种更安全、更有效的治疗方案?今天,我们要为你介绍一项藏在蒙医智慧里的特色技术——蒙医穴位埋线治疗慢性布...

2026-01-26
-
我院传统内疗科招募神经根型颈椎病受试者
divclass="rich_media_area_primary"style="-webkit-tap-highlight-color:rgba(0,0,0,0);margin:0px;padding:calc(var(--richMediaAreaPrimaryPaddingTop)+env(safe-area-inset-top))calc(var(--appmsgPageGap)+env(safe-area-inset-right))0calc(var(--appmsgPageGap)+env(safe-area-inset-left));outline:0px;background-image:;background-position-x:;background-position-y:;background-size:;background-repeat:;background-attachment:;background-origin:;background-clip:;co...

2026-01-26
-
神经外科采用经额穿刺置管技术精准微创治疗基底节区脑出血
近日,我院神经外科团队成功为一名43岁基底节区大量脑出血患者,实施经额钻孔血肿腔外引流微创手术,以精准、高效的治疗方式,避免了传统开颅手术创伤,患者术后恢复良好,疗效显著。患者因突发左侧基底节区脑出血一天转入我院,出血量约40毫升,家属因顾忌手术后的创伤和经济原因拒绝开颅...

2026-01-23
-
告别颈部“生命线”,微创技术重塑甲状腺手术新标准|普外二科 内蒙古自治区国际蒙医医院 2026年1月23日 16:58
近日,一位甲状腺结节患者在我院普外二科顺利完成了一种新型微创手术,标志着甲状腺疾病治疗在精准与美观结合方面取得了新突破。该患者自2021年起发现双侧甲状腺结节,定期复查提示结节性质有所进展,为寻求更佳治疗方案而入院。据了解,患者双侧甲状腺结节逐年增大,其中右侧最大结节达到...

2026-01-23
-
我院五疗康复科实施首例CT引导下三叉神经电极置入术
近日,我院五疗康复科与北京清华长庚医院疼痛医学科专家团队紧密协作,在影像科的支持配合下,开展首例CT引导扫描重建下三叉神经电极置入术。该技术的应用,为三叉神经痛等难治性神经病理性疼痛患者提供了精准、微创的治疗新选择,也标志着医院在该领域的诊疗水平实现新的突破。患者刘女...

2026-01-23
-
立春启新篇,调养正当时——治未病中心邀您共赴春季健康活动 内蒙古自治区国际蒙医医院 2026年1月23日 16:58
亲爱的患者朋友们:立春将至,阳气初生,正是调理身体、焕发活力的好时机。治未病中心特此举办“春季养生,从‘治未病’开始”主题活动,助您顺应天时,预防疾病,为新一年的健康奠定基础。如果您正被以下问题困扰,欢迎前来咨询:·长期疲劳、失眠多梦、精力不济·胃肠功能紊乱、食欲不佳...

2026-01-23
-
我院儿科开展“爱暖冬季 护童成长”主题义诊,蒙医特色守护儿童健康
为深入贯彻蒙医“春生夏长、秋收冬藏,顺应四时养正气”的传统理念,把握冬季儿童阳气敛藏、气血蓄养的关键调理期,我院儿科于1月18日上午,在门诊大厅举办“爱暖冬季护童成长”主题健康义诊活动。此次活动旨在帮助家长及时了解孩子生长发育状况,及早发现并干预矮小、肥胖、性发育及视力...

2026-01-20
-
我院脑病中心神经内科帕金森亚专业标准化中心建设再添新翼——北京医院陈海波教授莅临指导,精准诊疗与学科共建双轨并行
1月17日,内蒙古自治区国际蒙医医院脑病中心迎来学术交流与临床诊疗的重要契机。北京医院神经内科首席专家、帕金森病与运动障碍领域权威陈海波教授应邀莅临,全面指导“内蒙古自治区国际蒙医医院脑病中心神经内科帕金森亚专业标准化中心”项目建设,推动该院帕金森病诊疗向规范化、精准化...

2026-01-20
-
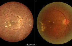
北京同仁名医主刀,复杂青光眼手术圆满成功!科室技术实现新突破
青光眼被称为“沉默的视力小偷”,而复杂类型青光眼叠加多次手术失败、眼部结构异常等情况,更是让患者求医之路步履维艰。近日,我院邀请到北京同仁医院眼科主任医师、博士生导师著名眼科专家莅临指导,不仅为多名疑难青光眼、白内障患者成功实施高难度手术,更通过专题培训与实操带教,...

2026-01-20
-
名医推介 | 五疗药浴中心:双柱、苏布德、株那苏图、吉英、乌兰其其格、月霞
divclass="rich_media_area_primary"style="-webkit-tap-highlight-color:rgba(0,0,0,0);margin:0px;padding:calc(var(--richMediaAreaPrimaryPaddingTop)+env(safe-area-inset-top))calc(var(--appmsgPageGap)+env(safe-area-inset-right))0calc(var(--appmsgPageGap)+env(safe-area-inset-left));outline:0px;background-image:;background-position-x:;background-position-y:;background-size:;background-repeat:;background-attachment:;background-origin:;background-clip:;co...

2026-01-20