我院多学科协作成功救治高龄肝脓肿破裂危重患者——腹腔镜微创手术破解脓毒血症危机
近日,我院通过多学科协作,成功救治一名"肝脓肿破裂出血、脓毒血症"的76岁高龄危重患者。该患者因"周身乏力伴食欲差、寒战2天"入院,在完善腹部CT检查返回病房途中突发剧烈腹痛,伴随寒战、四肢皮肤发冷等危急症状。

患者回病房后检查显示:血压158/121mmHg,血氧饱和度仅83%,心率146次/分,呼吸26次/分,腹部呈板状样强直。医院立即启动急会诊程序,重症医学科王帅副主任医师首先介入,稳定患者生命体征并诊断为"脓毒血症"。与此同时,普外二科佟山主任医师根据腹部CT及病史、查体,准确诊断为"肝脓肿破裂出血、腹腔感染"。
考虑到患者病情危重,随时可能因脓毒血症引发多器官功能衰竭,医疗团队决定立即进行急诊手术。在与家属充分沟通并取得积极配合后,医院迅速组织急诊腹腔镜下肝脓肿切开止血引流术。



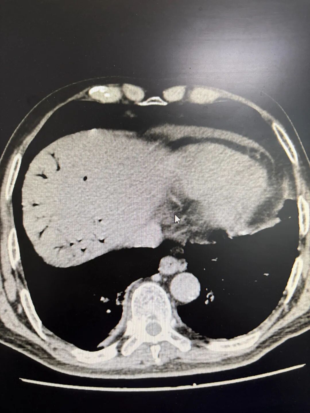
术前患者CT显示图
该患者年龄高达76岁,且既往有高血压、糖尿病病史多年,肺功能较差,加上脓毒血症的影响,极大增加了手术和麻醉难度。麻醉医师苏日娜精心配合,为手术顺利进行提供了重要保障。术中探查可见肝右叶包膜破裂出血并伴有脓液流出,与术前判断完全一致。
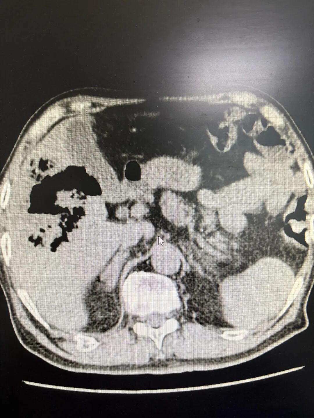
术后患者生命体征稳定,意识清醒。因脓毒血症原因,转入重症医学科继续接受高级生命支持。术后第2天患者感染指标就出现显著下降,随即转入普通病房继续治疗。影像学检查显示,术后第5天肝内胆管积气消失,脓腔明显缩小;术后第20天仅见引流管及少量积气。目前患者已顺利康复出院。
患者术后5天和20天的CT显示图
普外二科佟山主任医师介绍,肝脓肿是肝脏受到微生物感染后产生的肝组织局限性化脓性炎症,属于继发感染性疾病。肝脓肿好发于肝右叶,糖尿病病人是高发人群。主要症状包括全身乏力、食欲差、发热寒战、恶心呕吐及肝区疼痛,可伴有右肩背部牵涉痛,严重时可出现黄疸。
专家提醒,一旦出现上述症状应及时就医治疗,避免脓肿增大、破裂出血、感染等危及生命的后果。此次成功救治案例,充分展现了我院在多学科协作救治急危重症患者方面的综合实力。

相关新闻