『健康科普』人生路上,珍“膝”有你
膝关节大家一定不陌生,但是大家有真正了解过它吗?膝关节是人体最大,最复杂的滑车关节。由股骨、胫骨、髌骨等骨性结构组成,周围有肌肉和韧带包围,包括内外侧副韧带、前后交叉韧带和膝横韧带等。

膝关节在保持身体稳定、行走、跳跃、下蹲等活动中,膝关节具有承担重量、提供活动和伸缩、缓冲冲击以及维持稳定性的功能。由于膝关节负重及活动量较大,临床上易因外伤及退变而导致相关疾病的发生,膝关节骨性关节炎是常见的退变性疾病之一。其最根本的病变是膝关节表面的软骨出现损伤,而引起一系列的临床症状。
受损的关 正常的关节软骨有
老年人是膝关节骨性关节炎疾病的高发人群,其中女性的发病率远远高于男性患者,同时在65岁及以上的人群中患病率高达68%。其发病原因与年龄增长,肥胖,炎症,创伤,关节力学改变和遗传等因素相关。

在各类因素的作用下正常的膝关节软骨被不断地磨损消耗,从而造成软骨磨损及损伤,半月板病变,形成骨刺,甚至暴露骨头。膝关节骨性关节炎的症状,随着时间推移逐渐加重,逐渐人们会感到肿胀,疼痛难耐,严重时会伴随关节畸形和活动受限等。
那么我们采取怎样的措施能预防和减少这类疾病的发生呢? 1 在日常生活中避免长时间的下蹲半蹲全蹲。这些姿势会加大膝关节的承重,从而导致膝关节的损伤。 2 注意走路和工作姿势,选择一双合适的鞋子。鞋子舒适可以保证在运动时避免膝盖承受撞击和过大的压力。 3 维持正常的体重。以免体重超重增加膝关节的负担。 4 加强对膝关节的保暖。生活中多穿长裤和护膝来保护膝盖,避免膝盖关节长时间受凉。 5 自觉形成保护意识。生活中给予关节按摩,促进血液循环。 6 蒙药传统治疗方法可缓解前期症状:如蒙药泡足、艾姜灸、蒙药外敷、耳穴压豆等都可以很好的缓解膝部的肿胀和疼痛,促进其血液循环。 手术治疗方法





当症状较重影响日常生活,且出现关节畸形和活动受限时,可采取手术治疗。现如今截骨术和膝关节置换术已经时非常成熟且准确的手术,通过手术可解除关节疼痛,大大提升患者的生活质量。

截骨术

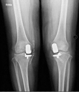
单髁置换术

全膝置换术
总而言之,膝关节在人体的运动和日常生活中起着非常重要的作用,希望大家积极的保护自己的膝关节,尤其是老年患者,积极关注膝关节的健康,预防膝关节疾病的发生。如果膝关节出现任何不适或者问题应及时就医并接受规范的治疗。毕竟人老腿先老,且行且珍“膝”。
相关新闻